Две монеты из пищевода трехлетнего мальчика извлекли врачи в Якутске

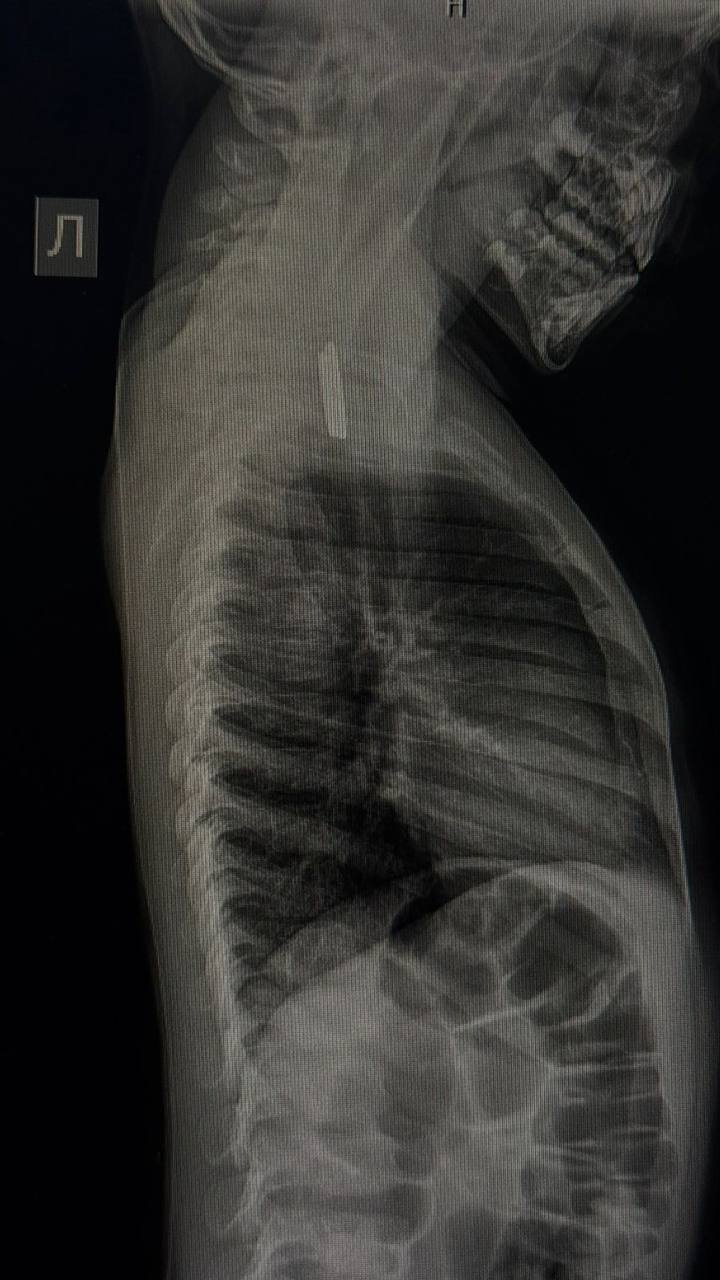
В Национальный центр медицины Якутии госпитализировали трехлетнего ребенка, проглотившего монеты номиналом пять и десять рублей. Инородные тела застряли в верхней трети пищевода, сообщает ЯСИА.
Мальчика беспокоили кашель и обильное слюнотечение. Экстренную операцию провела врач-эндоскопист, заведующая эндоскопическим отделением РБ № 1 – НЦМ Мария Еремеева.
«Родители обратились в больницу в тот же день, когда ребенок проглотил монеты. Инородные тела были обнаружены в верхней трети пищевода. Операция прошла успешно, сложностей при извлечении монет не возникло. После операции ребёнок в удовлетворительном состоянии остался под наблюдением в хирургическом отделении», — рассказала ЯСИА Мария Еремеева.

По словам врача, в ноябре и декабре участились случаи поступления детей с инородными телами в пищеводе и даже верхних, нижних дыхательных путях.
«Осложнениями инородных тел в пищеводе могут быть травматические царапины, эрозии, разрывы стенок, вплоть до перфорации. Также это может привести к обструкции, когда инородное тело полностью перекрывает просвет пищевода, что нарушает прохождения пищи и жидкости», — говорит заведующая эндоскопическим отделением РБ № 1 – НЦМ Мария Еремеева.
В начале декабря врачи НЦМ Якутии спасли 16-летнего подростка. Девочка проглотила большую кость. Операцию провел опытный врач-эндоскопист Александр Кларов.

Серьезную опасность представляют инородные тела в дыхательных путях. Врач-эндоскопист РБ № 1 — НЦМ Якутии Владислав Протодьяконов недавно провел экстренную операцию ребенку, у которого обнаружили орех в левом главном бронхе. Ребенок жаловался на непрекращающийся кашель в течение четырех дней.

Ранее ЯСИА сообщало, что якутские врачи удалили из желудка девушки огромный комок волос. Комок диаметром около 30 см заполнил весь желудок пациентки.
Сообщить об опечатке
Текст, который будет отправлен нашим редакторам: